![]()

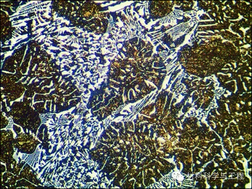
【91李欢】采用舜宇金相显微镜在明场条件下进行金相观察,使用Beraha腐蚀剂(3gK2S2O5 + 1gNH2SO3H + 100mlH2O)进行腐蚀。该图为放大500倍的金相图。铸态高速钢主要由马氏体+残留奥氏体+共晶碳化物(M7C3、M2C、W6C 及MC)组成,在该图中,白色为碳化物,蓝黑色为马氏体,褐黄色为残余奥氏体。

【92李欢】此材料为铸态Ni47Ti44Nb9合金。 选用99.96%的海绵钛,99.96%的纯镍和99.96%的纯铌,按照47at%Ni,44at%Ti,9at%Nb比例进行配料,使用ZG-25真空中频感应熔炼炉,配套使用氧化镁坩埚进行熔炼,随炉冷却。得到的铸态Ni47Ti44Nb9合金试样经500℃保温1h,空冷处理。在EVO MA15型号扫描电镜上进行组织形貌观察;共晶组织中的白色β-Nb相析出分布在黑灰色Ni-Ti基体上,大部分β-Nb相表现为长条状,且按一定规律致密分布。

【93黎志彦】一串“稻穗”。材料:T400合金粉。莱卡DMI3000M 金相显微镜。材料的微观世界是美丽和神奇的,送一串丰收的“稻穗”给自己,证明自己在材料的道路上会有收获的!

【94龚天尧】仪器:SEM扫描电子显微镜Quanta 250 FEG。液相中合成的硫化钯纳米棒的组合体,辐射状三维展开。其形貌独特难得,无心插柳柳成荫,用“浴火重生,凤凰涅槃”来形容都不为过。原图经调色处理。

【95王冠】16%钠钢的样品200倍的金相照片,样品中间有白亮点(后期处理成苹果颜色)与那一小段黑条组成苹果样貌,难不成这样品也要过平安夜?

【96陶莹】该图片系Q235钢基体表面采用粉煤灰活性氩弧熔覆方法制备的Ni/Al2O3-TiB2涂层,拍摄设备为FEQUANTA200F型扫描电镜。涂层中TiB2相多以鱼骨状或花瓣状弥散分布,而作品中则呈现出上古恐龙形态,其昂首挺立,怒目圆睁,体态威武而矫健。

【97韩莉】材料及作品:铝铈合金 铝合金加入稀土元素——铈,其组织变得异常绚丽。仪器:日本HITACHI公司 S3400N扫描电子显微镜。

【98韩莉】材料及作品:稀土矿。两个心形图案都是借助立体显微镜徒手从稀土精矿中挑选的单一稀土矿物,外圈红色、半透明的是独居石,内圈淡黄色、透明的是氟碳铈矿;放大倍数250倍。仪器:德国ZEISS公司 ZEISS Stemi 2000-C 立体显微镜。

【99曾敬山】Fe-18Mn-0.5C系TWIP钢1100℃淬火后奥氏体与退火孪晶。拍摄手段:光学显微镜。样品状态:淬火态。

【100何鹏飞】用超音速等离子喷涂设备制备的NiCrAl涂层。其中按重量百分比Ni:73;Cr:22;Al:5。在进行高分辨TEM电镜观察时(明场相),发现了一个鱼鳞状的薄区,这个现象很神奇,很有艺术感。因此进行了较深入的分析。如图所示,通过衍射斑点(SAD)可以看出该部分薄区主要有γ-Ni和γ‘-Ni3Al两项组成。其中γ'-Ni3Al为析出相,这些细小的析出相均匀弥散在γ-Ni的晶界处,与γ-Ni保持共格关系,起到了良好的弥散强化作用,能够强化合金基体。
更多关于材料方面、材料腐蚀控制、材料科普等等方面的国内外最新动态,我们网站会不断更新。希望大家一直关注中国腐蚀与防护网http://www.ecorr.org
责任编辑:王元
《中国腐蚀与防护网电子期刊》征订启事
投稿联系:编辑部
电话:010-62313558-806
邮箱:ecorr_org@163.com
中国腐蚀与防护网官方 QQ群:140808414
免责声明:本网站所转载的文字、图片与视频资料版权归原创作者所有,如果涉及侵权,请第一时间联系本网删除。
官方微信
《中国腐蚀与防护网电子期刊》征订启事
- 投稿联系:编辑部
- 电话:010-62316606-806
- 邮箱:fsfhzy666@163.com
- 中国腐蚀与防护网官方QQ群:140808414



