精美Al-Si合金金相图片


01 99.999%Al, 已变形的晶粒结构

02 Al-1%Si 铸造合金样品,在初生α铝基体中可见硅粒子。


03 Al-7%Si, 铸态组织,初生α枝晶和α-Al/Si共晶


04 Al-11%Si, 铸态组织,初生α枝晶和α-Al/Si共晶

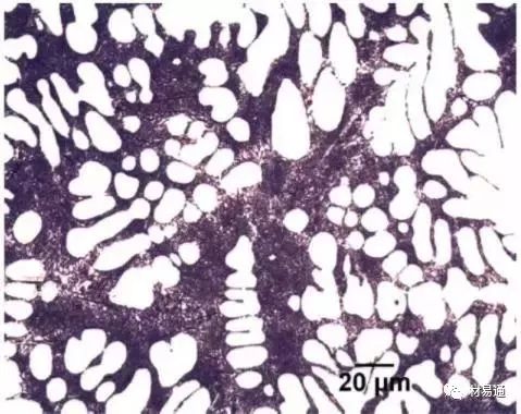
05 Al-12%Si, 铸态组织,近共晶


06 Al-12%Si, 铸态组织,近共晶


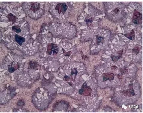
07 Na改性Al-12%Si, 铸态组织,近共晶

08 Na改性Al-12%Si, 铸态组织,近共晶

09 Al-12.9%Si, 重力铸造


10 Al-12%Si-0.04%Sr, 重力铸造


11 Al-19.85%Si,铸造,过共晶,初生Si加共晶

![]()
12 Al-25%Si,铸造,过共晶,初生Si加α-Al/Si共晶

13 Al-50%Si,铸造,过共晶,初生Si开裂加共晶


14 99.9999%Si,铸造,75%NaOH溶液

15 Al-Si相图
更多关于材料方面、材料腐蚀控制、材料科普等方面的国内外最新动态,我们网站会不断更新。希望大家一直关注中国腐蚀与防护网http://www.ecorr.org
责任编辑:王元
《中国腐蚀与防护网电子期刊》征订启事
投稿联系:编辑部
电话:010-62313558-806
邮箱:fsfhzy666@163.com
中国腐蚀与防护网官方 QQ群:140808414
免责声明:本网站所转载的文字、图片与视频资料版权归原创作者所有,如果涉及侵权,请第一时间联系本网删除。
相关文章
官方微信
《中国腐蚀与防护网电子期刊》征订启事
- 投稿联系:编辑部
- 电话:010-62313558-806
- 邮箱:fsfhzy666@163.com
- 中国腐蚀与防护网官方QQ群:140808414
点击排行
PPT新闻
“海洋金属”——钛合金在舰船的
点击数:5768
腐蚀与“海上丝绸之路”
点击数:4763



