2019年11月25日,网名为Cortinarius Prodigiosus的同行学者爆料,法国科学院院士Jean Marc Egly教授多篇论文涉嫌学术不端,我们一起来看看。
Jean Marc Egly出生于1945年12月 27 日,是法国国家卫生与医学研究所的一位教授。1971年,年仅26岁的他就获得斯特拉斯堡第一大学(又称:路易·巴斯德大学)化学博士学位。由于对生物学具有浓厚的兴趣,Jean Marc Egly教授又花了5年时间重修生物学,并于1976年获得生物化学博士学位(真学霸)。1977年,他仅用一年时间完成了瑞典乌普萨拉大学博士后研究。从1978年起,他加入法国细胞生物学研究所,开启自己的科研事业。

Jean Marc Egly教授主要研究方向是基因表达调控,在这个领域,他做出了很多原创性成果。比如他首次发现TATA-Box结合蛋白TBP因子对于启动子的识别至关重要;首次揭示TFIIH因子在调控转录起始和DNA修复方面均具有重要作用,并且将其作为治疗裂谷热病毒感染的靶标。
在过去40余年的科研生涯中,Jean Marc Egly教授一共发表了260多篇SCI论文,总被引次数超过16000次,个人学术H指数高达75。

由于在科研上的杰出表现,Jean Marc Egly教授曾获得过多项荣誉。1996年获得法国国家荣誉骑士勋章;2005年当选为法国科学院院士。

本以为可以度过辉煌的人生,可是2019年11月25日,Jean Marc Egly教授有多篇论文在一天内被网名为Cortinarius Prodigiosus的同行学者质疑造假。
第一篇文章于2000年7月发表在经典老牌期刊Journal of Biological Chemistry上,影响因子为4.106分。该论文的题目是Distinct regions of MAT1 regulate cdk7 kinase and TFIIH transcription activities,目前已经被引用79次。

该文发表距今已经接近20年,但是最近,2019年11月25日,网名为Cortinarius Prodigiosus的同行学者表示,该论文涉嫌学术不端,图3B中免疫印迹条带重复使用。

第二篇文章于2002年10月发表在Cell子刊Molecular Cell上,影响因子为14.548分。该论文的题目是CSB is a component of RNA pol I transcription,目前已经被引用216次。

2019年11月25日,同样是由同行学者Cortinarius Prodigiosus指出,该论文图3D中存在图片重复使用和裁剪等学术不端行为。

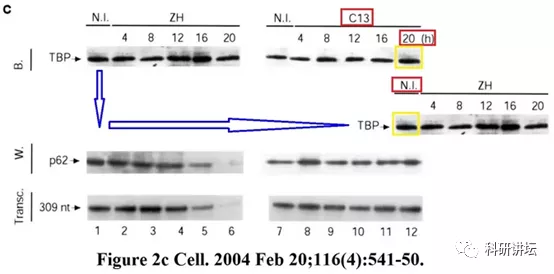
第三篇文章于2004年2月发表在Cell期刊上,影响因子为36.216分。该论文的题目是TFIIH transcriptionfactor, a target for the Rift Valley hemorrhagic fever virus,目前已经被引用300次。

该文是一篇高被引论文,它首次揭示转录因子TFIIH可以作为裂谷热病毒的靶标,对治疗裂谷热病毒具有非常重要的意义。然而不幸的是,2019年11月25日,同行学者Cortinarius Prodigiosus指出,该论文图2C免疫印迹条带重复使用。

第四篇文章于2005年7月发表在Molecular and Cellular Biology期刊上,影响因子为3.735分。该论文的题目是Dysregulation of the peroxisome proliferator-activated receptor target genes by XPD mutations,目前已经被引用131次。

虽然发表期刊的影响因子不高,但是该文的引用次数非常高,可见研究意义重大。即使这样,2019年11月25日,同行学者Cortinarius Prodigiosus指出,该论文多出图片重复使用,包括图4B,图4D,图4E和图5A。

一天内被同一个学者曝出多篇论文学术不端,纵使Jean Marc Egly教授先前做出了很多重要成果,这次怕也是要凉凉了。截止目前为止,Jean Marc Egly教授对这些质疑还未做出任何回应。对于质疑声,这恐怕只是一个开始;对于学者的科研生涯来说,这可能是一个结尾。
免责声明:本网站所转载的文字、图片与视频资料版权归原创作者所有,如果涉及侵权,请第一时间联系本网删除。
官方微信
《中国腐蚀与防护网电子期刊》征订启事
- 投稿联系:编辑部
- 电话:010-62316606-806
- 邮箱:fsfhzy666@163.com
- 中国腐蚀与防护网官方QQ群:140808414



