热镀锌是最常用、性价比最佳的钢材防腐蚀处理方法,虽已历经两个半世纪,仍经久不衰。多年来,各国对新型耐蚀热镀材料的研究层出不穷。
自20世纪70年代至今,各国在工业上获得应用的热镀新材料有Ga1va1ume、Ga1fan、ZAM等。21世纪初,新日铁又开发了高耐蚀镀层板,其商品名为“Super Dyma” 。
在上述材料中,最适合用于钢丝镀层的材料应该是Ga1fan合金,Ga1fan镀层钢丝在我国虽已开展了近三十年的应用研究和二十多年的工业生产,但至今仍未成为我国钢丝制品市场的主导产品。
热镀锌层具有电化学保护作用,镀锌层还有较好的涂装性、焊接性和成型性;热镀铝有优异的耐大气腐蚀性和耐热性,但其焊接性和牺牲保护性极差。因此锌铝、铝锌合金成为研发热镀新材料的首选。
20世纪60年代,美国伯利恒钢铁公司的研究表明,锌中铝含量在17.5%以下,镀层都具有良好的延展性和电化学保护作用,在乡村、一般工业环境、近海环境、严酷的海洋环境的5年大气暴露试验表明,铝含量为4~7%的锌铝镀层,其腐蚀速率均优于纯锌对比镀层。锌铝二元素共晶点的铝含量为5%,其共晶温度为382ºC,由于共晶合金具有熔点低、流动性好、耐腐蚀性好的优点,因此锌-5%铝合金成为新型热镀合金的基础材料。
为了抑制共晶组织的晶界腐蚀,并改善合金对钢基的浸润性和可镀性,在锌-5%铝合金中添加其他金属元素成为研究的重点。1978年国际铅锌组织(ILZRO)和比利时列口研究中心(CRM)进行系列研究,经过添加Sb、Be、Ca、Cd、Ce、La、Pb、Mg、Si、Sn、Ti等11种金属元素的试验,发现加入镧、铈混合稀土金属可以获得理想的效果,可以获得光滑、连续、无漏镀的表面质量和优异的耐腐蚀性,继后开发了商品名为Ga1fan的新型镀层材料。Ga1fan合金具有优良的耐蚀性、可成型性和可焊接性,几乎集中了镀锌层和镀铝层的主要优点。目前Ga1fan合金在国外已广泛用于钢板、钢丝、钢管和型钢的热浸镀中,Ga1fan镀层钢丝在国内又称锌-5%铝-混合稀土合金镀层钢丝。在我国,自20世纪80年代起河北省冶金研究院、包头稀土院、重庆有色金属研究院、北京科技大学都曾开展过Ga1fan镀层钢丝研究和工业小批量试验。宁波渔业钢丝绳厂、浙江万胜钢缆集团、天津环钟钢丝有限公司(天津钢丝厂)、天津钢绞线厂、天津燎原钢绞线厂、宝钢集团上海二钢公司先后进行了工业生产。其中,20世纪末,天津钢丝厂、宁波渔业钢丝绳厂获ILZR0批准的Ga1fan镀层钢丝的生产许可,株洲冶炼厂获生产合金的许可。
耐蚀性
Galfan镀层具有良好的耐蚀性。盐雾实验表明,在镀层厚度相同时,其耐蚀性为纯锌镀层的2~3倍,同时,在S02气体腐蚀试验表明,其耐蚀性为纯锌镀层的2倍。
日本Nisshin钢铁公司将常规热镀锌板和Ga1fan镀层板在农村、工业气氛、海洋、严酷海洋等四种大气环境下,进行了10年的暴露试验。试验表明,热镀锌的腐蚀失重与时间呈线性关系,而Ga1fan镀层在腐蚀初期为线性,随着时间的延长,其腐蚀失重与时间呈抛物线关系,见图1。



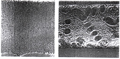
Ga1fan镀层是典型的共晶层状结构组成,富铝相和富锌相交错、重叠(图3)。在腐蚀初期,由于富锌层的活性比富铝层大,因此富锌层首先被腐蚀出现类似纯锌镀层的线性腐蚀。随后由于剩余表面的富铝层增加以及腐蚀产物的稳定性和不溶解层的形成,使腐蚀速度减慢并趋于稳定,同时因为共晶相是随机取向的细小层状结构,当层状结构平行于表面(钢板)或处于钢丝镀层圆周切线方向,腐蚀到富铝相时,其腐蚀扩展速度将减慢,此时Ga1fan镀层又具备镀铝层的隔离保护性。由此可知,镀后快速冷却后得到的随机取向的晶粒细小的全共晶组织具有最佳的耐腐蚀性。
影响Ga1fan镀层耐腐蚀性的关键因素为合金中锌铝成份、合金中杂质元素的含量以及镀层冷却速度,一般要求镀后冷却速度大于20℃/s。快速冷却时可以获得全共晶组织,冷却速度越大,共晶相越细,层间距离也越小,其取向越无序。由于共晶成份镀层的晶界腐蚀敏感性最大,锌铝合金中杂质铅、镉、锡、铟、铋会加快晶界腐蚀,因此必须严格控制Ga1fan合金中杂质含量。而加入镁、稀土等可以抑制晶界腐蚀。液态的锌铝合金对钢材的润湿性差,容易引起漏镀,只有添加镧和铈的混合稀土金属才能获得无缺陷的镀层。
免责声明:本网站所转载的文字、图片与视频资料版权归原创作者所有,如果涉及侵权,请第一时间联系本网删除。
-
标签: 镀层钢丝Galfan
官方微信
《腐蚀与防护网电子期刊》征订启事
- 投稿联系:编辑部
- 电话:010-62316606-806
- 邮箱:fsfhzy666@163.com
- 腐蚀与防护网官方QQ群:140808414



