高氮无镍不锈钢氮含量(质量分数)通常为0.3%~1.0%,部分特殊高氮钢氮含量可接近或达到1.5%左右。高氮无镍不锈钢具有优异的力学性能和耐腐蚀性能,是近年来不锈钢材料研究的热点。高氮无镍不锈钢通过增加氮元素来提高材料强度和硬度,且不含镍元素,可以避免镍资源依赖和价格波动。氮的加入不仅能显著提高不锈钢的耐蚀性,还能改善其抗氧化性和耐磨性。尽管高氮无镍不锈钢具有众多优点,但其冶炼工艺相对复杂,且成分控制及热处理工艺要求较高。虽然N元素代替Ni元素可稳定钢材中的奥氏体组织,但过量氮的加入可能导致脆性增加,进而导致材料性能降低,使其使用寿命降低。
为解决上述问题,近年来,国内外学者对高氮无镍不锈钢开展了广泛而深入的系统研究,并取得系列研究成果,主要包括:
1)成分设计与制备,如采用注射成型、加压电渣重熔、气固渗氮烧结等技术制备不同氮含量的高质量致密/多孔高氮无镍不锈钢;
2)组织和力学性能研究,如表征组织及微观结构,对冲击韧性、摩擦磨损、弯曲抗力、磁性等性能进行探究;
3)抗腐蚀性分析,如在Hank’s溶液、NaCl溶液、模拟体液环境中评价耐蚀性,并利用冷变形、硝酸钝化等手段提高耐蚀能力;
4)生物相容性探究,如考察人脐动脉平滑肌细胞、大鼠骨髓间充质干细胞对不锈钢的细胞和分子反应,并通过骨植入实验、血液相容性实验评判高氮无镍不锈钢生物相容性能。但目前国内外还未见有关上述四方面的系统综述。
本文围绕上述四点,系统综述了国内外有关高氮无镍不锈钢组织和性能调控、生物相容性、动物实验及细胞反应的研究报道,并结合课题组理解,指出高氮无镍不锈钢目前的研究不足及未来发展方向,以期为相关领域技术研究和应用发展提供有意义的参考信息。
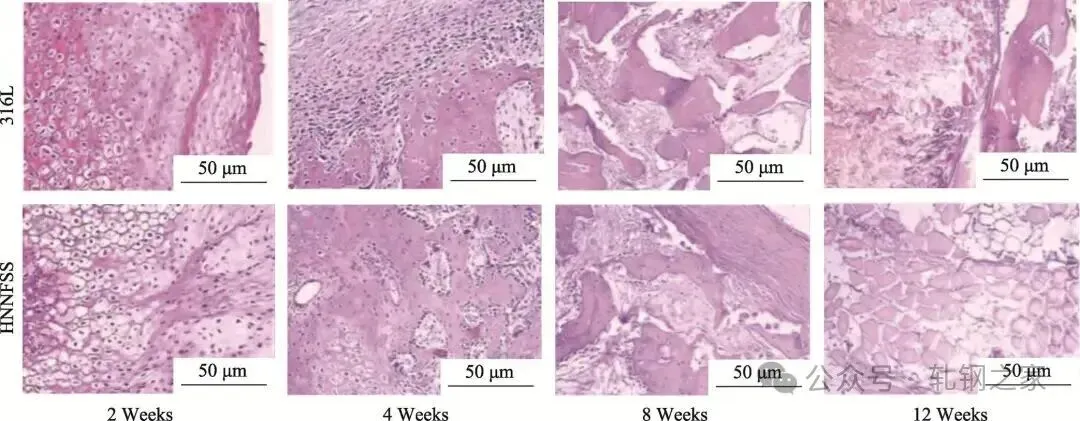
1 高氮无镍不锈钢研究总体概况 纵观国内外学者在高氮无镍不锈钢研究领域的相关成果,研究重点主要集中在材料制备与组织表征、力学性能与防蚀性以及生物相容性和生物力学行为等方面。高氮无镍不锈钢作为一种新型合金材料,因优异耐腐蚀性和力学性能,在工业应用中展现出巨大潜力,尤其是在耐腐蚀环境下使用,已经引起越来越多的关注。据不完全统计,仅国内发表的有关高氮无镍不锈钢研究成果的文章已超过70篇,包括期刊、会议、学位论文及授权发明专利等内容。其中,国内代表性研究团队主要有中国科学院金属研究所任伊宾/杨柯课题组、重庆大学王贵学课题组、华南理工大学李烈军课题组、暨南大学袁军平课题组等。此外,国际上也有不少团队在这一领域取得重要进展,如日本Makoto Sasaki团队、美国Simona Radice团队。这些研究人员通过不同实验方法与理论分析,深入探讨高氮无镍不锈钢结构与性能之间的关系,推动该领域技术发展。综上所述,这些研究为高氮无镍不锈钢优化设计、性能提升以及实际应用奠定了坚实的理论基础和技术支持。具体的研究成果和数据总结如表1所示。 表1 高氮无镍不锈钢主要研究概况 2 高氮无镍不锈钢研究进展 高氮无镍不锈钢是一种以氮元素代替镍元素来稳定奥氏体组织的合金材料。与传统的奥氏体不锈钢(如304不锈钢)相比,这种材料不仅可避免镍对人体可能产生的毒副作用,还在力学性能、耐腐蚀性和生物相容性等方面表现优异。目前已报道的高氮无镍不锈钢研究内容主要集中于高质量致密/多孔高氮无镍不锈钢工艺制备、微观组织及反应相表征分析、冲击韧性及摩擦磨损等性能测量、抗菌性及耐腐蚀实验、细胞相容性及分子反应对比、愈合骨组织学和生物力学行为追踪等方面,下面将对高氮无镍不锈钢的研究进展进行详细综述。 2.1 成分设计与制备 高氮无镍不锈钢通常具有较高氮含量(≥0.3%,质量分数),并可能添加锰(Mn)等元素以提高氮的固溶度。与常见含镍不锈钢(如304或316不锈钢)相比,这种高氮含量使钢材能够稳定奥氏体组织,从而获得优异性能。高氮钢生产的关键在于提高钢中氮的溶解度,防止氮元素在冷凝过程中逸出,确保氮元素在钢中的均匀分布。国内外高氮钢制备工艺主要为:高压熔炼铸造法、粉末冶金法、注射成型和温压成型等。 注射成型工艺多用于制造高氮不锈钢小型块体零件。倪释凌等借助金属注射成型工艺在烧结阶段使高氮不锈钢与氮气充分接触,缩短了氮扩散距离和渗氮时间,使烧结件里的氮元素分布更为均匀。以成本低廉的无镍CrMn双相不锈钢粉末为原料,通过渗氮烧结和金属注射成型,制备出Fe-Cr17-Mn11.5-Mo3.5-Si0.8-N0.4(质量分数)高氮无镍奥氏体不锈钢块体,但有关孔洞产生的内在原因有待进一步研究。 羟基磷灰石是促进骨生成与骨整合最有效的生物活性材料。Sasaki等先利用加压电渣重熔制备Fe-23Cr-1Mo-1N(质量分数)高氮无镍不锈钢铸块,后采用化学溶液沉积法在不锈钢表面形成磷酸钙,获得低结晶度的羟基磷灰石,制备出羟基磷灰石涂层的高氮无镍不锈钢,结果表明,其非常适合用作硬组织替代材料和软组织黏合材料。 在高氮无镍不锈钢中引入孔隙可降低弹性模量进而调整力学相容性。Salahinejad等借助机械合金化在1100 ℃下对18Cr-8Mn-0.9N不锈钢粉末烧结20h后进行水淬致密化,获得相对密度为85%的纳米结构奥氏体不锈钢。Alvarez等通过在氢气压力下连续区域熔炼Fe-Cr或Fe-Cr-Mo不锈钢,获得孔隙率约50%、孔径约150 μm的莲藕状多孔不锈钢,随后在高温下通过渗氮处理,制备不同孔隙率和约1.0%(质量分数)氮含量的高氮无镍不锈钢多孔材料,有效调节了高氮钢弹性模量等力学性能,但有关孔隙结构与机械刺激的联系尚未解析清楚。 采用粉末冶金工艺制备的高氮钢具有晶粒细小、氮含量可控、工艺简单等优点。Hu等先在700~900℃温度下对低氮CrMn不锈钢粉末进行气体氮化,然后采用放电等离子烧结固化法,得到平均粒径为1.6~8.2μm面心立方基体,随氮化温度从700 ℃升到750℃,氮含量(质量分数)从0.68%升至1.71%,Cr2N析出形式由胞状析出转变为沿晶析出,析出形态由片状转变为等轴状。其中,当渗氮温度为750℃时,制备的高氮无镍不锈钢TEM明场像如图1所示,其晶界清晰可见,2种析出物均为Cr2N相。同时,还以中氮CrMnMo双相不锈钢粉末为材料,采用模压成形及气固渗氮烧结法,制备了FeCrMnMoN系多孔高氮无镍奥氏体不锈钢。上述研究为设计与生产高氮含量的高强奥氏体不锈钢提供了一种新途径。 氮元素的加入能显著提高钢材的拉伸强度,增强其在高压、高温环境下的耐受能力。然而,氮含量过高导致钢材脆性增加,在低温下易发生脆性断裂。为克服这一短板,合金设计时需控制氮含量,通过减少氮含量或与其他元素合理搭配,如适当增加钼或铌等,改善材料韧性,降低脆性;加入铝、钛等元素来细化晶粒,进而提高不锈钢低温韧性及力学性能。 2.2 组织和力学性能 力学性能是衡量高氮无镍不锈钢在实际应用中可靠性及耐久性的重要指标。抗拉强度、伸长率和硬度等与不锈钢组织、微观结构息息相关。目前研究表明,氮含量的提高也可能导致材料脆性增加及表面硬度过高等问题。为阐明氮元素对材料性能影响及相关调控机理,国内外学者围绕不锈钢组织与力学性能构效关系展开了研究,以期为延长高氮无镍不锈钢服役寿命提供指导,研究主要包括: 1)优化合金成分,通过新N当量公式和相图,准确地预测高氮无镍不锈钢显微组织,为成分优化提供指导; 2)开发多种制备工艺,如大熔池法、加压感应熔炼等,以提高材料氮含量,改善其力学性能等; 3)优化热处理过程,精确控制加热温度和冷却速率,避免高氮含量导致的不均匀相析出,提升氮溶解度,防止氮析出物产生,提高材料整体性能。 高氮无镍不锈钢需添加高含量锰,以增加氮的溶解度。Mohammadzadeh等在−170~150 ℃温度范围内测试了无Mn元素的高氮无镍不锈钢冲击韧性,发现不锈钢表现出明显韧脆转变;在25℃时,断口表面出现伴随塑性和变形带的沿晶脆性断裂,其中变形带平行于{111}滑移面;当温度降至0、−10、−170 ℃时,断口表面发生沿晶脆性断裂;当温度升至150℃时,断裂由脆性转变为韧性。但有关裂纹扩展方向和凹坑形成的机理尚不明晰。 在生物医学领域,具有良好力学性能的多孔材料是目前公认的理想骨植入材料。Salahinejad等研究了多孔Cr-Mn-N不锈钢微观组织和干滑动磨损特性,发现样品为完全奥氏体结构,晶粒尺寸为90 nm,氮在铁基合金中的间隙溶解促进了γ相的形成,多孔不锈钢具有较高内在硬度和特殊孔隙结构,显微硬度达350HV,耐磨性优于AISI316L不锈钢样品的耐磨性。但有关摩擦系数突变及波动的内在机理需进一步研究。 图1 渗氮温度为750 ℃时制备的高氮无镍不锈钢TEM明场像及SAED图像 高氮无镍不锈钢与羟基磷灰石结合可显著提高其生物相容性。Younesi等在不同磨损参数下对不同羟基磷灰石含量的不锈钢-羟基磷灰石复合材料进行了试验,他们建立了一种可预测复合材料磨损行为的反向传播神经网络模型,该模型可预测磨损试验过程中样品体积损失,说明人工神经网络可作为一种有效工具预测复合材料性能,可代替耗时的实验过程。 Zhao等探究了冷变形对高氮无镍不锈钢摩擦磨损性能的影响,结果表明,不锈钢组织以稳定单相奥氏体和大量孪晶为特征,具有良好的加工硬化能力。随冷变形的增加,耐蚀性几乎不变,在干磨试验中,磨损率先降后升,蒸馏水和Hank’s溶液中的磨损率单调降低,如图2所示。干磨试验磨损机理为磨粒磨损、脆性剥落和氧化磨损结合,蒸馏水中主要是磨粒磨损,而Hank’s溶液中包括磨粒磨损和点蚀。但有关冷变形量对屈服强度与抗拉强度间差异的作用机理解析尚不系统。 植入用不锈钢器件的轻量化设计可充分发挥高氮无镍不锈钢高强度的优势。孙玉霞等[17]对临床用不锈钢进行了结构尺寸优化设计,采用有限元仿真模拟研究了空心结构不锈钢内孔数量及孔径变化对弯曲抗力和应力分布的影响规律。发现随孔数和孔径的增加,接骨板轻量化率呈线性提高,同时三点弯曲时的弯曲抗力也明显降低,均呈线性关系,应力分布随孔的加入逐渐均匀,采用三孔结构及孔径为接骨板厚50%的设计,可实现约15%的轻量化,且保持较高的抗弯曲性能。 图2 不同润滑条件下磨损率随冷变形量的变化 对高氮无镍不锈钢进行抗菌改性,对该类材料推广应用具有重要意义。Yuan等以铜作为不锈钢抗菌元素,发现含铜的高氮无镍不锈钢在700~900℃时效处理1~24h后,氮化铬呈片层状和颗粒状析出,析出量随时效温度和时间的增加而增加;经800℃时效处理1h后,细菌黏附状况明显改善,但抗菌性能较弱。同时,析出的氮化铬明显影响耐蚀性,时效时间越长,耐蚀性越差。 Wan等对高氮无镍不锈钢磁性行为进行了研究,发现钢的磁性来源于铁素体形成元素Cr和Mo的成分偏析,部分δ-铁素体在加压电渣重熔过程中局部形成,采用适当高温气体氮化可消除不锈钢磁性氮化。但该研究无法确定奥氏体X射线衍射峰降低的根本原因。CoCrMo合金是优异的植入式关节替换生物材料。Radice等对比研究了CoCrMo合金和高氮无镍不锈钢组织及耐腐蚀性,2种合金组织如图3所示,前者平均粒径为(1.09±0.88)µm,合金相为99%(质量分数)γ相和1% ε相(图3b),后者平均粒径为(47.82±38.85)µm,具有完全奥氏体结构(图3d),在两者中均观察到孪晶的存在,结果表明,无镍高氮不锈钢在模拟滑膜炎环境中的耐腐蚀性优于CoCrMo合金的。 2.3 耐腐蚀性 人体内溶液环境对金属材料具有较强腐蚀性,材料腐蚀行为不仅影响其力学性能,同时还构成材料与人体生物相容性的基础。为防止植入件金属离子释放,对人体造成危害,进行高氮无镍不锈钢植入材料的耐蚀性研究具有重要意义。 体内炎症部位容易对医用金属植入件产生腐蚀降解。Radice等采用含0g/L或3g/L的透明质酸和0、3或30mmol/L H2O2的牛血清溶液分别模拟无、中度或重度炎症来测试高氮无镍钢的耐腐蚀性,研究发现,透明质酸的存在对稳定开路电位(OCP)值和不锈钢耐蚀性均无显著影响;随H2O2浓度增加,OCP向更多正电值偏移;相比于0、3mmol/L浓度的H2O2,当H2O2浓度为30mmol/L时,其耐腐蚀性显著下降。因目前体内发炎部位H2O2浓度无法精准确定,所以该研究未来可依赖检测精度对耐蚀机理进行深入解析。 对于冠状动脉支架,其最终失效通常与腐蚀疲劳有关。Li等探讨了预应变对高氮无镍不锈钢在Hank’s溶液中腐蚀疲劳行为的影响,研究发现,不锈钢在预应变后表现出高强度和较好的延展性,未施加预应变不锈钢疲劳极限为550MPa,腐蚀疲劳极限为475MPa,且随预应变的增加呈明显增加,在适当范围内,预应变对腐蚀疲劳强度存在有益影响,如在20%冷变形时,强度提高近300MPa。该研究为预测高氮无镍不锈钢支架的服役寿命及设计提供了良好的参考方案。 冷变形加工可增强材料强度、硬度及韧性,改善材料综合性能。Ren等研究了冷变形对高氮无镍不锈钢在0.9%(质量分数,下同)盐水溶液中耐点蚀性的影响,结果表明,随冷变形增加到50%,不锈钢点蚀性基本不变,说明高氮含量可降低冷变形对耐点蚀性的负面影响,且不锈钢上形成的钝化膜稳定性和厚度几乎没有变化,有利于血管冠状动脉支架的长期使用。但有关冷变形对钝化膜厚度和电阻的内在影响机制尚未阐释清楚。 图3 CoCrMo合金和高氮无镍不锈钢组织图 相较于常规渗氮法,高温渗氮法可获得更高的氮质量分数。王耘涛等采用高温渗氮工艺制备无镍高氮不锈钢,以提高医用不锈钢的安全性和耐蚀性,研究发现,渗氮层氮质量分数可达1.0%,与原材料相比,氮质量分数增加了2倍;在0.9% NaCl生理盐水及模拟血浆溶液中表现出优良的耐蚀性,在加热温度1200℃、氮气压力0.3MPa和保温时间24h条件下制备的不锈钢在0.9%NaCl溶液中的点蚀电位约1200mV,远高于渗氮前的320mV。 表面钝化处理可有效提高不锈钢耐蚀性。Yang等利用硝酸钝化提高了高氮无镍不锈钢的均匀耐腐蚀性,钝化后,在37℃、0.9% NaCl溶液中,不锈钢腐蚀速率显著降低至未钝化处理溶液的1/20,分析是因为钝化膜中的Cr富集和钝化膜/金属界面中的N富集增强了不锈钢均匀耐腐蚀性,如图4所示。此外,在尝试借助水处理提高不锈钢耐腐蚀性时,得到类似的耐腐蚀效果,认为Cr富集和钝化膜厚度的增加使耐腐蚀性提升。但有关N元素在钝化膜中的存在形式有待进一步研究。 相比于均匀腐蚀,氮元素提高不锈钢局部腐蚀能力更加显著。Wang等研究了高氮含量不锈钢耐点蚀能力,发现当氮质量分数达到0.92%时,严重冷变形导致的不锈钢耐点蚀能力降低现象被完全消除,不锈钢表面钝化膜中存在明显氮富集层,并提出与氮富集相关的自修复机制。该机制对无镍高氮不锈钢独特的耐点蚀行为进行了透彻分析。 2.4 生物相容性 生物相容性是医用生物材料研究的核心主题,是区分医用生物材料与其他材料的关键特征,也是评估材料能否在生物医学领域应用的重要标准。国内外研究者对此指标给予高度关注,通过体外试验进行了系列生物相容性研究。 图4 酸钝化温度和浓度对O (a,b)、Cr (c,d)、N (e,f)元素在钝化膜深度和组成方面的影响 轻质结构是植入件设计的新趋势,可确保良好的生物力学相容性。Ren等采用有限元方法研究骨板轻量化设计,并对比分析了兔骨愈合组织学行为。有限元结果表明,与316L不锈钢板相比,当高氮无镍不锈钢板厚度减至0.9mm(重量轻18.2%)时,具有更高抗弯强度和更均匀应力分布。轻量化不锈钢板与316L不锈钢板在动物实验中愈伤组织影像学、组织学分析(如图5所示)及愈伤组织胰岛素样生长因子-1表达模式等方面均无明显差异,表明无镍高氮不锈钢具有保持良好固定功能和促进骨愈合的轻量化潜力。 细胞凋亡可从形态、分子、蛋白及基因等多方面进行检测,是检测生物相容性的有效方法。石涛等利用凋亡相关因子Caspase-3的表达强度分析了高氮无镍不锈钢生物相容性,发现各组材料按Caspase-3活化度由小到大的顺序依次为:空白对照组、金合金、高氮无镍不锈钢、钴铬合金、317L不锈钢,各组间Caspase-3活化度有显著性差异(p<0.05)。该研究表明,高氮无镍不锈钢具有较佳的生物相容性,优于钴铬合金及317L不锈钢的。 抗生物腐蚀性是金属植入生物材料的重要性能。Yu等发现,相较于316L不锈钢,高氮钢的高氮含量使其具有更好的生物耐蚀性和表面亲水性。高氮钢亲水表面可通过调整合素α1、β1基因表达,促进鼠骨髓间充质干细胞(rBMSCs)的初始黏附和扩散(如图6所示),分析发现,高锰、无镍可促进rBMSC增殖。兔胫骨植入实验也表明,高氮无镍不锈钢可明显促进植入体周围新骨形成和骨界面接触。但有关不同钢基体对rBMSCs细胞活力的作用机制未阐明清楚。 Inoue等通过内皮细胞培养定量评价无镍高氮不锈钢的生物反应,由于不含Ni元素,高氮无镍不锈钢内皮化性能高于316L不锈钢的,且炎症反应比316L不锈钢的降低79.55%。Li等体外研究了高氮无镍不锈钢细胞相容性、血液相容性和细胞反应。相比于镍钛诺合金,高氮无镍不锈钢上MC3T3-E1细胞无明显毒副作用,细胞数量明显多于镍钛诺合金的,且细胞生长良好。细胞内总蛋白含量、碱性磷酸酶活性及矿化定量均表现出良好的细胞反应。但该研究只对实验结果展开对比,缺乏对相关内在机理的系统解析。 图5 不锈钢板固定骨折兔股骨术后HE染色愈伤组织的组织学分析 图6 2种不锈钢样品的细胞粘附和增殖(红色为肌动蛋白,蓝色为细胞核) 医用级高氮无镍不锈钢可作为支架的替代材料。刘美霞等针对高氮无镍不锈钢与冠脉支架材料L605合金和316L不锈钢展开了研究,研究表明,高氮无镍不锈钢抗溶血性能明显优于L605合金和316L不锈钢的,氮元素的加入屏蔽了过多镍离子,减少了溶血现象,且高氮无镍不锈钢可有效抑制血管平滑肌细胞增殖。但有关高氮钢对镍离子溶血、细胞增殖的抑制机理有待进一步研究。 生物材料对接触的细胞周期影响是评估其生物相容性的重要方面。Li等对比研究了人脐动脉平滑肌细胞(HUASMCs)对高氮无镍不锈钢和316L不锈钢的细胞和分子反应,研究表明,高氮无镍不锈钢上培养的HUASMCs增殖速度慢于316L不锈钢的,高氮无镍不锈钢可激活更多的细胞凋亡,分析是因为调控细胞凋亡和自噬的基因在高氮无镍不锈钢中表达上调。进一步地,在对比考察人脐静脉内皮细胞的分子反应时,发现与316L不锈钢相比,高氮无镍不锈钢可抑制细胞增殖繁衍,其生长黏附情况如图7所示,按不同基体上细胞数量由多到少的顺序依次为:316L不锈钢、高氮无镍不锈钢、培养基。 高氮无镍不锈钢以氮代替镍稳定奥氏体组织,厘清氮元素对生物相容性的作用机制尤为重要。Wan等探究了氮含量对血液相容性的影响,发现317L钢表面黏附血小板多于高氮钢表面的,且随氮含量增加,高氮钢表面血小板量进一步减少,初始凝血时间延长,分析是因为物质和血液间存在不同表面自由能和界面能。王宏刚等考察了氮含量对血管内皮细胞及血小板黏附的影响,发现不同氮含量不锈钢溶血率均低于国家标准的5%,对血小板黏附影响不显著;黏附在不锈钢表面的血管内皮细胞数量均多于钛合金材料的,且生长状态良好。王文革等研究了成骨细胞及血小板在不同氮含量不锈钢(0.42%、0.54%、0.6%,质量分数)表面的黏附及细胞毒性。发现氮含量对成骨细胞生长、形态和增殖不构成伤害,对细胞黏附影响不显著。高氮奥氏体不锈钢和钛合金对成骨细胞的生长、形态和增殖无显著毒副作用。上述体外研究均通过试验手段表明,不同氮含量(0.42%、0.54%、0.6%,质量分数)的高氮无镍不锈钢材料均具有优异的生物相容性。 图7 人脐静脉内皮细胞在培养基、高氮无镍不锈钢与316L不锈钢表面的黏附情况 3 总结与展望
当前,高氮无镍不锈钢具有优异耐腐蚀性、强度和硬度,适用于化工、海洋、生物医学等多个领域。虽然国内外学者对高氮无镍不锈钢开展了各种系列研究,但目前有关高氮无镍不锈钢研究与应用还存在以下不足,建议今后对以下几方面重点关注。 1)氮元素的过量加入可能导致材料脆性增加,影响其加工性和可焊性,尤其在复杂结构制造中,控制氮含量和优化工艺仍是一个挑战。在未来研究中,可通过优化合金成分和冶炼工艺,解决氮元素引起脆性问题,提高材料可加工性。 2)高氮无镍不锈钢的冶炼过程相对复杂,氮的稳定性和均匀分布难以保证,导致材料的质量和性能不稳定。在未来研究中,可通过开发高氮无镍不锈钢的先进加工技术,如3D打印等,确保氮元素的均匀分布。 3)现有研究对高氮无镍不锈钢在极端环境下的耐久性、疲劳性能等方面探讨仍不充分。在未来研究中,可进一步探索其在极端环境中的表现,如高温、低温以及腐蚀性等,促进其实际应用。随着技术的进步和理论的深入,高氮无镍不锈钢有望在更多领域替代传统不锈钢,成为一种更具竞争力材料。
免责声明:本网站所转载的文字、图片与视频资料版权归原创作者所有,如果涉及侵权,请第一时间联系本网删除。
官方微信
《腐蚀与防护网电子期刊》征订启事
- 投稿联系:编辑部
- 电话:010-62316606
- 邮箱:fsfhzy666@163.com
- 腐蚀与防护网官方QQ群:140808414











