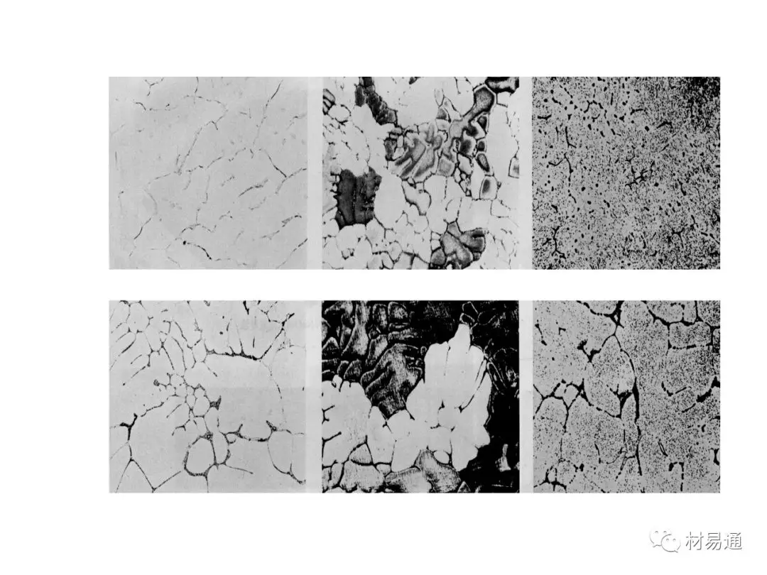
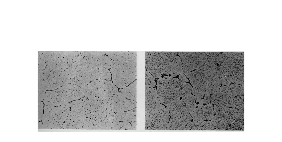
金属材料的均匀化退火
2021-01-12 13:44:11 作者:本网整理 来源:每天学点热处理 分享至:

640?wx_fmt=jpeg&tp=webp&wxfrom=5&wx_lazy=1&wx_co=1.jpg 

 

免责声明:本网站所转载的文字、图片与视频资料版权归原创作者所有,如果涉及侵权,请第一时间联系本网删除。