1. 基于水凝胶响应压力梯度直接产生离子电流

加拿大英属哥伦比亚大学的John D. W. Madden(通讯作者)等人提出了一种离子型压电方法,可基于水凝胶响应压力梯度直接产生离子电流(即离子压电效应,piezoionic effect)。在该研究所设计制备的水凝胶中,阳离子和阴离子的迁移行为不同,因此当被挤压时水凝胶可形成离子梯度并产生电压。由此产生的离子电流具有变化范围较宽的持续时间(从毫秒级别到数百秒级别),并且可发挥直接的神经调节和肌肉兴奋作用。阳离子和阴离子的迁移差异还可决定信号放大程度和持续时间,而同时,具有固定电荷梯度的图案化水凝胶薄膜可提供接近细胞电位的电压补偿,因此结合这两种效应,研究创造的自供能超软离子压电机械感受器可产生比摩擦纳米发电和压电器件高4-6个数量级的电荷密度,有望为设计仿生感知接口提供新的思路。本文第一作者为Yuta Dobashi,研究成果以题为“Piezoionic mechanoreceptors: Force-induced current generation in hydrogels”发表在国际著名期刊Science上。
2. 双重信息加密功能的荧光油/水凝胶

据中国科学院宁波材料技术与工程研究所官网报道,智能高分子材料团队在陈涛研究员的带领下,在荧光水凝胶体系的构建及其颜色调控与动态信息防伪方面取得了一系列的研究进展。近期,陈涛研究员、乐晓霞副研究员报道了他们最新的在具有双重信息加密功能的荧光油/水凝胶方面的科研工作。该油/水凝胶由互穿的水凝胶和油凝胶聚合物网络组成,其中萘酰亚胺基团(DEAN,发射黄绿色荧光)与蒽单元(发射蓝色荧光)分别被引入到亲水聚(N,N-二甲基丙烯酰胺)(PDMA)水凝胶网络与疏水聚甲基丙烯酸十八烷基酯(PSMA)油凝胶网络中。通过365nm紫外光的照射激发,蒽单元发生单体-二聚体转变,完成其荧光颜色由蓝色到无色的转变。进一步叠加DEAN的黄绿色荧光,油水凝胶可以实现荧光颜色由蓝色到淡黄色的转变。借助光掩模可以实现精细图案的存储,并结合油凝胶分子网络的结晶诱导形状记忆特性,该多色油水凝胶可以实现荧光信息的加载存储与加载信息隐藏在三维立体结构中的双重加密-解密过程,从而使得信息具有更高的安全性。该工作近期以题为“Integrating photo-rewritable fluorescent information in shape-memory organohydrogel towards dual encryption”的论文发表在Adv. Opt. Mater.
3. 飞秒激光直写3D仿生响应型水凝胶微致动器

据中科院官网报道,中国科学院理化技术研究所仿生智能界面科学中心有机纳米光子学实验室研究员郑美玲团队在4D刺激响应型仿生水凝胶微致动器的制备及应用方面取得新进展。研究合成了刺激响应型光刻胶前驱体,并结合结构设计,采用飞秒激光直写技术制备出4D刺激响应型水凝胶微结构。微米级水凝胶致动器表现出快速的pH响应,还可通过pH响应来调控微颗粒的捕获和释放行为。飞秒激光直写技术是实现响应型水凝胶结构微型化的重要手段。该技术采用飞秒激光作为光源,激光束经物镜聚焦到光刻胶中,基于非线性光学效应,聚合反应仅发生在光子数密度极高的中心区域,因此具有高精度、真三维的特点。研究利用刺激响应型光刻胶,优化飞秒激光直写参数及激光加工路径,获得了响应行为可控的4D水凝胶微结构。研究改变激光加工参数来调节水凝胶微结构局部区域的交联密度,从而获得可控的pH响应行为,变形时间短至1.2秒,恢复时间为0.3秒。在此基础上,科研人员受捕蝇草捕获行为的启发,设计并加工了仿生不对称水凝胶微致动器,通过pH触发,实现和调节了其形状变化,捕获了单个或多个微颗粒,并可控地实现了微颗粒的同时释放或顺次释放。研究团队对仿生水凝胶微致动器的控制操纵将增加精确捕获和释放微小物体的潜力,使智能水凝胶微致动器的制备成为可能。这种微致动器在软体机器人、微传感器和微电子机械系统(MEMS)等研究领域具有潜在的应用价值。
4.基于电渗膨压的水凝胶基强快速致动器

水凝胶,因其柔软性、透明性和刺激响应性等优异性质,作为软致动器材料,是极具前景的。然而,传统刺激响应型水凝胶致动器,是采用渗透驱动的致动机制,致动力较弱,响应速度较慢。而且,能承受的压力也很有限,如果压力太大,传统刺激响应型水凝胶致动器,就会崩溃或碎掉。主要是因为传统刺激响应型水凝胶,低模量和渗透驱动的慢水扩散,使得弱和慢致动过程,仍然具有挑战性。韩国 首尔大学Ho-Young Kim,Jeong-Yun Sun团队Hyeonuk Na等,利用膨压和电渗,实现水凝胶基强而快的致动器。选择性渗透膜限制了凝胶制造的膨压致动器,可以保持驱动凝胶膨胀的高渗透压;因此,这种致动器用1.16立方厘米水凝胶制成,可以承受较大应力[在96分钟(min)内0.73兆帕(MPa)]。电渗加速了水的传输,凝胶迅速溶胀,提高了启动速度(9min内0.79MPa)。该实验策略,使柔软水凝胶,能够在几分钟内打破壁垒brick,并快速构建水下结构。该项研究,将水凝胶包裹在相对坚硬但柔韧的半透膜中,显著增加了水凝胶的驱动应力,这限制了横向变形。这种效应类似于在生物细胞中看到的膨压。向水溶液中加入电解质,并施加电场也可以提高驱动速度,从而将驱动时间从数小时缩短到数分钟。该项研究以Hydrogel-based strong and fast actuators by electroosmotic turgor pressure为题,发表在Science上。
5. PVA/LiCl水凝胶电解质与MXene/CMC薄膜电极组装超级电容器

燕山大学焦体峰教授和秦志辉副教授课题组等人考虑到可穿戴超级电容器对高性能电极材料和水凝胶电解质的需求,首先通过对MXene和CMC分散体进行真空过滤及干燥制备了柔性MXene/羧甲基纤维素(CMC)薄膜电极。由于CMC与MXene纳米片间的分子间相互作用,所得的MXene/CMC薄膜表现出高机械柔软性(5.9%应变下的12.7MPa强度)和高电导率(267 S/cm)。对于水凝胶电解质的设计,通过利用LiCl调控PVA交联网络及水分子间的相互作用,制备了具有高拉伸性、自愈合性、高导电性、强黏附性及抗冻特性的PVA/LiCl水凝胶。最后,将PVA/LiCl水凝胶电解质与两个MXene/CMC薄膜电极组装成超级电容器。由于电解质和电极的高度机械柔软性以及它们之间优异的界面相互作用,超级电容器可以在各种变形(如挤压、扭曲和折叠)下保持出色的电化学稳定性。更重要的是,即使在-40°C下,这类超级电容器也能实现出色的机械柔韧性和高电容保持率。这些出色的性能使所设计的超级电容器有望成为可穿戴和便携式电子设备的供能器件。该文章发表在Cell旗下期刊Cell Reports Physical Science上。尹娟娟为本文第一作者。
6. 体温触发快速粘附及按需剥离可逆粘附水凝胶助力无损伤皮肤护理

据中国海洋大学官网报道,中国海洋大学韩璐教授与西南交通大学鲁雄教授合作,提出了一种基于多酚-蛋白质络合策略制备具有体温触发快速粘附及无损伤按需剥离的水凝胶的策略。首先,通过碱性氧化预聚方式,形成了富含酚基和醌基的多酚预聚物(PGA);其次,在双键化明胶(GelMA)成胶过程中利用多酚基团的多重相互作用,打破GelMA分子链间的氢键作用,调节GelMA链的缠结密度,使得GelMA网络具有体温响应性,实现在体温条件下保持稳定性的同时分子链流动性增强的特性。当该水凝胶与人体皮肤接触后,体温触发其发生相转变实现高效快速粘附且能长时间保持粘附稳定。对水凝胶表面简单的降温后,网络中的GelMA分子链间重新生成氢键,水凝胶粘附力降低,实现无损伤剥离。另外,PGA的引入调整了GelMA网络的交联方式,在GelMA网络内引入了可牺牲的非共价键交联,从而赋予PGA-GelMA水凝胶与皮肤组织匹配的机械柔韧性和高延展性,避免了水凝胶在皮肤表面剥离时被拉扯造成的伤害。此外,该PGA-GelMA水凝胶还表现出优异的抗炎、抗氧化、抗过敏等生物活性,能够有效避免传统皮肤粘合剂在长期与皮肤接触中导致的皮肤刺激或过敏现象。相关研究以 “Infant skin friendly adhesive hydrogel patch activated at body temperature for bioelectronics securing and diabetic wound healing” 为题发表在《ACS Nano》。中国海洋大学的韩璐教授和西南交通大学鲁雄教授为通讯作者,该工作得到了四川省重点研发计划项目、国家自然科学基金等项目的支持
7. 多功能DNA水凝胶敷料促进糖尿病感染伤口愈合

据中科大官网报道,化生学院化学系温永强教授、生物系杜宏武教授等在“多功能DNA水凝胶敷料促进糖尿病感染伤口再生”方面的研究取得突破性进展,并在《Advanced Functional Materials》上发表研究性论文“Multifunctional DNA Hydrogels with Hydrocolloid-Cotton Structure for Regeneration of Diabetic Infectious Wounds”。作者设计了一种多功能的 DNA 水凝胶敷料。基于碱基配对原理,作者开发了树枝状大分子X+Y形DNA连接结构,然后与掺有黑磷量子点的聚乙烯亚胺动态交联形成生物活性 DNA 水凝胶,并在其中加载OPC B2 作为一种天然营养素,具有抗氧化和清除自由基的能力,并能促进细胞增殖和血管生成。作者建立了全层皮肤感染的糖尿病小鼠模型,研究了体内糖尿病感染伤口的愈合性能。研究表明:水凝胶敷料提供的3D空间结构可以吸收大量脓液组织液,为伤口愈合提供了完美的环境。第6天,观察到有新皮形成,而在第10天形成上皮层,可清晰观察再生结构和新生毛囊组织。治疗10天后,治疗的伤口几乎完全愈合,创面愈合率高达99.9%,而其他组的伤口没有完全闭合。表明水凝胶在NIR触发下具有优异的伤口愈合性能。
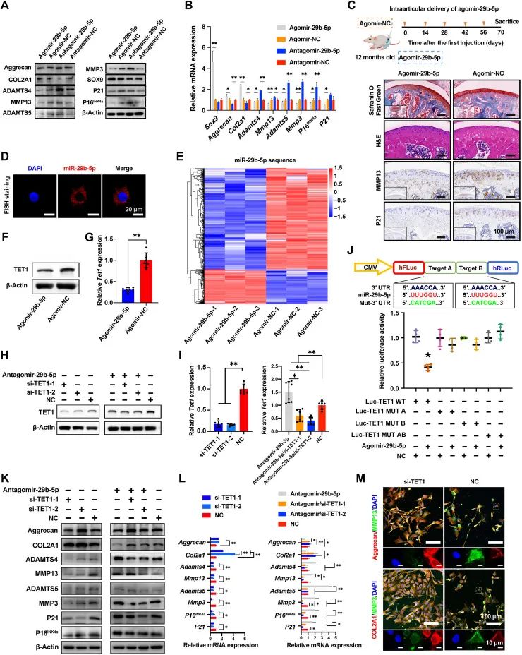
8. 通过水凝胶递送miRNA抑制骨关节衰老促进软骨再生新策略

浙江大学医学院附属邵逸夫医院骨科方向前团队和清华大学材料学院王秀梅团队在《科学-进展》(Science Advances)上在线发表题为《基于干细胞归巢水凝胶的miR-29b-5p递送通过抑制衰老促进软骨再生》(Stem cell-homing hydrogel-based miR-29b-5p delivery promotes cartilage regeneration by suppressing senescence in an osteoarthritis rat model)的研究成果,提出了通过抑制骨关节衰老促进软骨再生治疗OA的新策略,通过生物材料构建抑制衰老的再生微环境来使因OA受损的软骨恢复活力。首次发现并验证了OA软骨衰老相关的miRNA(miR-29b-5p),并通过原位注射具有干细胞归巢活性的自组装多肽纳米纤维水凝胶缓释递送miR-29b-5p,同时募集内源性滑膜间充质干细胞(SMSCs)。持续的miR-29b-5p递送和干细胞的募集以及随后分化成软骨细胞实现了成功的软骨修复和软骨细胞再生。该研究表明基于miRNA的治疗方式替代传统手术治疗OA具有巨大潜力。
9. 自修复、可回收和导电的水凝胶基应变传感器

华南理工大学制浆造纸工程国家重点实验室陈克复院士团队报告了一种简单的策略,通过分子水平的多重动态交联作用(MMDI)设计了一种自修复、可回收和导电的水凝胶基应变传感器,获得的明胶/DATNFC/Fe3+水凝胶(GDIH)与纯明胶水凝胶相比,拉伸强度和抗压强度显著增加,且有着优异的压缩应力(1310 kPa)、自愈能力和导电性。该水凝胶被开发为多功能应变传感器,具有高应变灵敏度和压缩灵敏度,可用于制造电子皮肤并准确识别检测微小变形引起的电生理信号,具有传感稳定性和快速压缩响应时间(200 ms)。MMDI水凝胶是通过溶胶-凝胶反应和离子浸入法制备的,无需复杂的分子设计和化学反应,主要由明胶、改性修饰纳米纤维素(DATNFC)和Fe3+组成多重动态交联网络,能够可逆地断裂和重建,提供了凝胶优异的机械性能和优异的自愈能力。与纯明胶相比,拉伸强度和压缩强度分别提高了990.7%和3822.7%。上述研究以“A Self-healing, Recyclable and Conductive Gelatin/Nanofibrillated Cellulose/Fe3+ Hydrogels Based on Multi-Dynamic Interactions for Multifunctional Strain Sensors”为题发表在《Materials Horizons》上
免责声明:本网站所转载的文字、图片与视频资料版权归原创作者所有,如果涉及侵权,请第一时间联系本网删除。
官方微信
《腐蚀与防护网电子期刊》征订启事
- 投稿联系:编辑部
- 电话:010-62316606-806
- 邮箱:fsfhzy666@163.com
- 腐蚀与防护网官方QQ群:140808414



