资助成果
在国家自然科学基金项目(批准号:51671168)等的资助下,浙江大学电子显微镜中心余倩教授团队和美国乔治亚理工学院的Ting Zhu教授、加州大学伯克利分校的Robert. Ritchie教授等合作,在高熵合金本征变形机制方面取得重要进展,发现了合金元素的浓度波调控机制,并实现了材料力学性能的调控。相关成果以“Tuning Element Distribution, Structure and Properties by Composition in High-entropy Alloys”(高熵合金成分调控下的元素分布、微结构和性能)为题,于2019年10月10日在Nature(《自然》)上发表。
高熵合金是合金家族近年来出现的新成员,通常是由多种元素以近乎等比例的配比混合而成的固溶体,因其独特且优越的性能受到科学界的广泛关注。特别是部分高熵合金可以同时具备高强度和高塑性,从而打破了传统金属中强度与塑性难以兼得的困境。最新科学研究发现,与传统合金相比,高熵合金内部各元素的分布存在明显的浓度起伏,这对它的高强高塑性起到了决定性的作用。因此,准确认识高熵合金中高强高塑性背后的本征原因将帮助我们找到高效的强韧化机理,有利于材料性能的优化设计和高性能合金的研发。
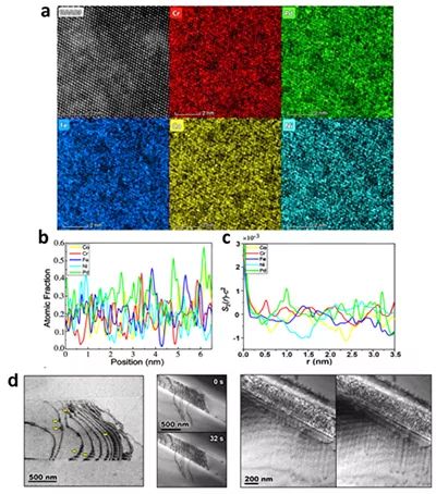
余倩教授及其合作者首次利用原子尺度的元素表征,发现了高熵合金中独特的浓度波起伏。相比于传统固溶体合金中在晶格尺度趋于平直的元素浓度波起伏,在高熵合金中,即使是CrMnFeCoNi合金也存在各种元素的浓度在晶格间25%到15%的震荡。这样的浓度起伏会带来纳米尺度晶格阻力的震荡和局域层错能的变化。进而,通过在保证完全固溶的前提下增加元素间电负性和原子大小的差异,制备了浓度起伏在60%到0之间的CrFeCoNiPd合金。由于浓度波的波幅大大增加,室温下材料塑性变形方式从传统的不全位错滑移、全位错滑移、孪晶变形等转变为大量均匀分布的交滑移为主导的变形方式(如图所示),同时材料的力学性能与CrMnFeCoNi合金相比,在保证相当水平的塑性变形能力的情况下,强度显著提高。该研究揭示了高熵合金中调控力学性能的特殊机制,与传统的界面调控(包括晶界、相界、第二相界面等)以及团簇等结构调控相比,高熵合金中独特的浓度波调控极为精细并具有连续性,是一种可控和高效的合金材料强韧化方法。

图 a. CrFeCoNiPd合金中元素分布的EDS Mapping; b. CrFeCoNiPd合金晶格中元素浓度波起伏; c. Pair-correlation分析; d. CrFeCoNiPd合金变形方式为大量交滑移
免责声明:本网站所转载的文字、图片与视频资料版权归原创作者所有,如果涉及侵权,请第一时间联系本网删除。
官方微信
《中国腐蚀与防护网电子期刊》征订启事
- 投稿联系:编辑部
- 电话:010-62313558-806
- 邮箱:fsfhzy666@163.com
- 中国腐蚀与防护网官方QQ群:140808414



